User not logged in - login - register
Home Calendar Books School Tool Photo Gallery Message Boards Users Statistics Advertise Site Info
go to bottom | |
 Message Boards » » TWW Vets: ununited anconeal process in dogs Page [1]  
se7entythree
YOSHIYOSHI
17382 Posts
user info
edit post

i took my aussie mix to the vet today bc she wasnt using her right front leg. she would start shaking when i tried to check out her elbow. the vet pulled and bent her joints all up and she writhed in pain on the floor. he couldnt bend her left elbow at all and her right elbow was popping and cracking. it was horrible to watch.

anyway, he feels fairly certain she has a hereditary condition called ununited anconeal process. it's a type of elbow dysplasia. she goes in for xrays tomorrow morning to confirm. there is a chance it's a fragmented coronoid process. about the same situation either way.

after the diagnosis is confirmed, we will be moving into surgery soon. she'll have to have both elbows done, at the vet's ballpark estimate of $1200 each.

anybody had a dog with this before? experiences with or knowledge of this type of surgery? advice, thoughts, comments...?

poor suki

7/15/2009 9:53:33 PM

TroopofEchos
All American
12212 Posts
user info
edit post

oh no Suki!!!
I'm sorries Megan, I will ask around at work tomorrow and see what they have to say

7/15/2009 11:15:08 PM

gk2004
All American
6237 Posts
user info
edit post

Rimadil FTW

7/15/2009 11:24:49 PM

se7entythree
YOSHIYOSHI
17382 Posts
user info
edit post

a painkiller just masks the problem and isnt a long term solution. so not really a win at all.

7/16/2009 8:06:53 AM

se7entythree
YOSHIYOSHI
17382 Posts
user info
edit post

suki (on the left) & her security blanket, mia, last year camping. she's had a haircut since then


[Edited on July 16, 2009 at 10:59 AM. Reason : ]

7/16/2009 10:59:25 AM

miska
All American
22242 Posts
user info
edit post

Awww, she's pretty

Good luck

7/16/2009 11:01:29 AM

se7entythree
YOSHIYOSHI
17382 Posts
user info
edit post

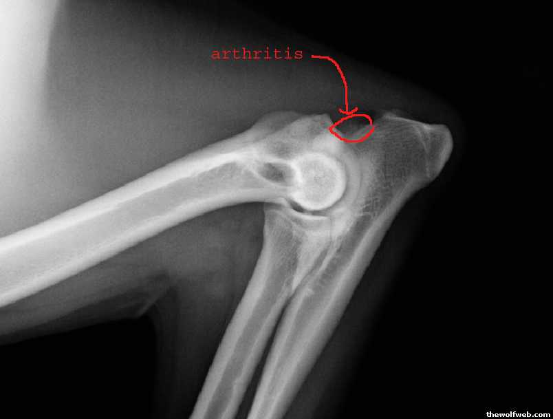
it's not UAP, it's fragmented coronoid process. still hereditary and basically the same situation in terms of needed surgery and whatnot. both of her elbows are affected, the left being slightly worse.

here are her xrays...

the fragmented piece, circled.


the typical arthritis caused by this broken piece


it was really awesome to get the scans on a disc and to get the software to view them (although it had no print function so i did printscreen into photoshop). he didn't charge me for her pain killer injection, did a full blood workup for free, heartworm/lyme disease test for free, and xrayed both hips for free!!!!! we had suspected a problem with them in the past but they were fine. i had always wanted to get them xrayed but it was just never absolutely neccessary. yay dr. coats!!!!

[Edited on July 16, 2009 at 3:01 PM. Reason : ]

7/16/2009 3:00:13 PM

 Message Boards » The Lounge » TWW Vets: ununited anconeal process in dogs Page [1]  
go to top | |
Admin Options : move topic | lock topic

© 2026 by The Wolf Web - All Rights Reserved.
The material located at this site is not endorsed, sponsored or provided by or on behalf of North Carolina State University.
Powered by CrazyWeb v2.39 - our disclaimer.